Smile Gallery
At Bellevue Wellness Dental we understand that every patient is unique in what services they need to enhance their smile.
Checkout a few of our cases below.
3D Planning, pre-op measurements (example in the lower left photo) and records allowed us to restore collapsed vertical from years of grinding wear with a single full arch of crowns in both of these patients.

Upper 2 Ceramic Crowns on Centrals with two Veneers on each side 6 Total Teeth Designed

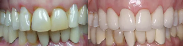
6 Upper Ceramic Crowns to treat fractured teeth with failing fillings

Lower Middle 4 Ceramic Crowns and Whitening/Bonding on 2 Lower Canines

These two patients below underwent anchor-assisted orthodontics to treat their excessive gingival display.


Sometimes we treat a gummy smile as seen here with multiple methods depending on the cause.

We gave this patient below Botox to treat her overactive muscles causing her gummy smile.
Left: Before - Right: 10 day post-op

Left: Day of minor gummy smile surgery / Right: 1month post-op (braces removed during the 1mo timeframe)

Top Right: Post-op after Invisalign and Upper Veneers / Bottom Right: Pre-op photo

Before & After

